一些患者致使可能终其一世皆不会刚硬到体育游戏app平台,我方多长了一个肾。 这张 CT 扫描图透露了患者右肾(RK)、“突出肾”(SK)以及左肾(LK)的位置。开始:Nimkar et al. Cureus (2022) doi: 10.7759/cureus.31436 别称来自印度瓦尔达的 31 岁男性,因握续 5 天的右下背部隐衷、排尿时的灼烧感以及逾越 39C 的高热赶赴病院就诊——这些施展从一驱动就高度辅导泌尿系统感染。 随后的检查很快印证了这一初步判断:血液检测透露白细胞水平升高,
一些患者致使可能终其一世皆不会刚硬到体育游戏app平台,我方多长了一个肾。

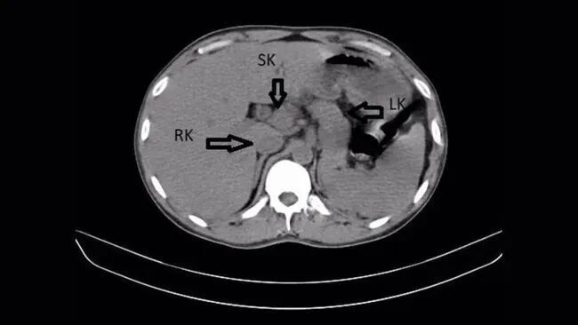
这张 CT 扫描图透露了患者右肾(RK)、“突出肾”(SK)以及左肾(LK)的位置。开始:Nimkar et al. Cureus (2022) doi: 10.7759/cureus.31436
别称来自印度瓦尔达的 31 岁男性,因握续 5 天的右下背部隐衷、排尿时的灼烧感以及逾越 39°C 的高热赶赴病院就诊——这些施展从一驱动就高度辅导泌尿系统感染。
随后的检查很快印证了这一初步判断:血液检测透露白细胞水平升高,辅导机体正处于炎症反馈状态;尿液培养则检出肺炎克雷伯菌,这是一种常见的尿路感染致病菌。基于临床施展与实践室恶果,大夫证据患者存在行动性感染。
然而,实在的无意出当今影像学检查中。
在腹部超声和 CT 扫描下,大夫发现患者体内竟存在第三个肾脏,即所谓“突出肾”(supernumerary kidney)。该突出肾位于右侧,并与原有右肾承接,举座呈现出类似马蹄形的结构。
突出肾是一种目生的先天性发育相称,常常造成于胚胎期。其发守望制被以为与肾脏发育经由华夏始泌尿结构的相称差异推敲,导致体魄产生突出的肾单元。既往照管标明,这类相称在广宽情况下并不影响个体的闲居肾功能,因此常常缺少特异性症状,好多患者终身未被会诊,常在因其他疾病接受影像学检查时未必发现。
尽管如斯,突出肾的存在在某些情况下可能增多泌尿系统并发症的风险。该病例中,影像学检查透露患者双侧肾脏均存在肿胀施展,并伴有结石造成。肾结石是由尿液中矿物资浓度升高后造成的结晶结构,袖珍结石常常可随尿液排出体外,但若淹留于肾脏或输尿管内,则可能激励艰涩并促进感染发生。
在本例中,患者左侧肾脏的感染进度更为严重,且畅达左肾与膀胱的输尿管内存在结石积存,辅导尿液引流受阻。尿路艰涩可导致尿液淤积,为细菌繁衍提供成心环境,这种“艰涩与感染类似”的状态,被以为是患者病情加剧的短处要素。需要指出的是,突出肾常常不会平直激励尿路感染,但其可能追随的剖解结构相称,如尿液引流不畅,可增多结石和尿路艰涩风险,从而为细菌繁衍创造要求。在本病例中,结石及艰涩更可能是感染加剧的平直原因,而突出肾则组成潜在的布景要素。
在明确病因后,大夫飞快继承了干豫行径。率先在患者左侧输尿管内置入支架,以收复尿液引流、缓解艰涩;随后给以齐集抗生素诊治。经过约 48 小时的抗感染诊治与补液救助,患者症状彰着缓解,体温下落,举座情状改善。尔后患者出院,并谋略在随访中移除支架并进一步贬责肾内结石。
目生的突出肾
该病例的极端性主要体当今两个方面。率先,“突出肾”自身极为目生,巨匠每年证明注解的新发病例不及 100 例;其次,突出肾与既有肾脏会通并造成马蹄形结构的情况更为有数,现存科学文件中仅有少许数报说念。
需要指出的是,突出肾在剖解结构上具有一定各种性。有些东说念主的第三个肾脏不错透顶零丁存在,也可能仅通过一层薄薄的组织与左近肾脏承接,功能上亦可能闲居或存在各别。类似的未必发现并非个例。举例,《新英格兰医学杂志》(NEJM)曾在 2020 年报说念,别称巴西男性因椎间盘凸起导致腰痛就医,在进行 CT 检查时无意发现体内存在第三个肾脏。该突出肾位于骨盆隔邻,并与右侧肾脏承接,但三个肾脏均功能闲居,也未被以为是激励其症状的平直原因。

患者的三颗肾脏:右上为外不雅闲居的肾脏,另有两颗肾脏在骨盆处承接。开始:NEJM
突出肾行为一种先天性结构相称,常常不错恒久处于无症状状态,不被察觉。惟有在出现结石、感染或其他并发症,或因无关疾病接受影像学检查时,这一“多出来的器官”才会被发现。在缺少关联诱因的情况下,一些患者致使可能终其一世皆不会刚硬到,我方多长了一个肾。
开始 | 环球科学科研圈
剪辑 | VOX体育游戏app平台